薬剤関連顎骨壊死の症状と重症度はどのようなものでしょうか?
薬剤関連顎骨壊死(MRONJ)の診断基準
以下の3項目を満たした場合にMRONJと診断されます。
- ビスフォスフォネート製剤や抗RANKLモノクローナル製剤またはそれに合わせて免疫療法、抗血管新生療法による治療歴がある。
- 8週間以上持続して、口腔・顎・顔面領域に骨露出を認める。または口腔内や口腔外から瘻孔を8週間以上認める。
- 顎の骨への放射線治療がされていない。また顎骨の病変ががんや転移でない。
MRONJの症状とステージ
ステージ1
無症状で細菌感染を伴わない骨露出・骨壊死。
または骨を触知できる瘻孔を認める。
- 下顎隆起(下あごの内側の隆起)や顎舌骨筋線後方(下あご内側後方)の骨露出が根尖病変や埋伏歯による感染を否定できる
- 義歯性潰瘍由来
- 歯性感染がない歯の自然脱落
- 抜歯後ドライソケット様で排膿なし
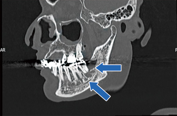
左下奥歯の内側後方に骨露出あり。
通常のエックス線写真(パノラマ)では不明瞭ですが、CTで骨吸収(矢印)が確認されます。
ステージ2
感染や炎症を伴う骨露出・骨壊死。骨を触知できる瘻孔を認める。発赤・疼痛を伴う。
右下小臼歯の後方に骨露出と排膿あり。
肉眼的露出は軽度だが、パノラマ写真では広範囲の骨吸収と腐骨形成(矢印)が確認されます。
ステージ3
下記の症状を伴う骨露出・骨壊死、または骨を触知できる瘻孔を認める。
- 下顎では骨の下縁や下顎枝(後方の立ち上がり)に至る骨露出・骨壊死
- 上顎では上顎洞(鼻腔の横の副鼻腔)、鼻腔、頬骨に至る骨露出・骨壊死、鼻・上顎洞口腔瘻(口と繋がる瘻孔)形成
- 病的骨折(骨壊死により生じる骨折)や口腔外瘻孔
右顔面に発赤と排膿あり。
パノラマ写真で右下顎に病的骨折を認めます。(矢印)
下顎前歯と左下に骨露出あり。
CTでは広範囲の鼻腔と交通する瘻孔(矢印)と下顎下縁に至る腐骨形成(矢印)が確認されます。
回答者
光永 幸代 先生
神奈川県立がんセンター 歯科口腔外科
神奈川県立がんセンター 歯科口腔外科
※本ページは、令和6年3月作成時のMRONJ冊子の内容を基に作成しています。
掲載している所属・肩書等は作成時点の情報であり、現在と異なる場合があります。














