薬剤関連顎骨壊死とはどのような病気でしょうか?
病気の治療に必要な薬剤の副作用により、本来歯肉でおおわれているはずの顎骨(がっこつ)が歯肉から露出したり、微生物の感染による炎症を起こしたりする病気です。
正式名称は日本語では「薬剤関連顎骨壊死」と言いますがその英語表記「Medication-Related Osteonecrosis of the Jaw」から「MRONJ(ムロンジェイ)」とも呼ばれています。
また、骨の『壊死』とは、血液供給が障害されることで骨の一部分が死んでしまうことを示します。
「痛み」「腫れ」「出血」「排膿」「知覚異常」などの症状や壊死骨内の歯牙の脱落をきたすことで、不快な症状や、お口の機能の低下をもたらす場合もあります。

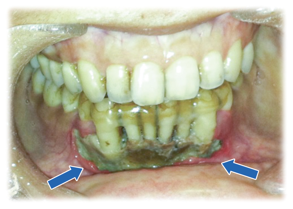
壊死した下顎骨が歯茎から露出しています(矢印の範囲)。
壊死骨の中の歯はグラグラになっているため固定しています。
回答者
光永 幸代 先生
神奈川県立がんセンター 歯科口腔外科
神奈川県立がんセンター 歯科口腔外科
※本ページは、令和6年3月作成時のMRONJ冊子の内容を基に作成しています。
掲載している所属・肩書等は作成時点の情報であり、現在と異なる場合があります。





